The Importance of Orthodontic Treatment at Hospitapirme Dental Clinic
We all know that a healthy, straight smile can boost our self-confidence and make us feel more comfortable in social interactions. However, we may not have a perfect tooth structure from birth. This is where the orthodontic treatment process we offer as Hospitapirme Dental Clinic comes into play.

What is Orthodontic Treatment?
Orthodontic treatment consists of a series of treatments that correct tooth and jaw alignment. However, alignment problems can lead to not only aesthetic but also functional problems. For example; misaligned teeth cannot be cleaned properly, which can lead to caries and gum disease.
Importance of Orthodontic Treatment
Orthodontic treatment corrects problems with tooth and jaw structure. As well as aesthetic concerns, this can prevent many health problems, from pain to speech problems and digestion.
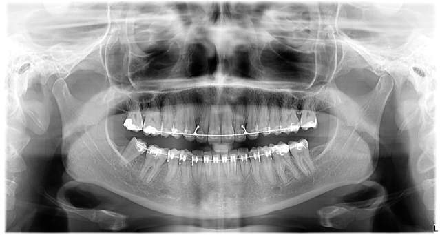
Brackets: What Are They and How Do They Work?
Braces are one of the most common methods of orthodontic treatment. These small tools made of metal or ceramic materials are glued to your teeth and joined with a special wire. By stretching this wire, the teeth slowly move towards the desired position. Hospitapirme Dental Clinic offers both traditional metal braces and more aesthetic ceramic braces.
Orthodontic Appliances
Apart from braces, there are many different orthodontic appliances that correct the tooth and jaw structure. These include
- Palatal Expander: It is used to expand the palatal bones.
- Hawley Retainer: It helps the teeth to stay in their new positions after treatment.
- Night Plates: Especially recommended for teeth clenching problems.
Treatment Duration
The duration of orthodontic treatment varies depending on the severity of the problem and the method used. Generally, treatment lasts between 1-3 years. However, this may vary according to individual needs.
After successful orthodontic treatment, post-treatment care is very important. After removing your braces, you should use retainers (fixed or removable) as recommended by your doctor to maintain the new position of your teeth.
Care Recommendations:
- Regular Tooth Brushing: Brushing your teeth while you have braces can be difficult, but that doesn’t mean you shouldn’t brush your teeth at least twice a day, especially after meals.
- Flossing: It is recommended to use special dental floss to remove food debris left between the brackets.
- Regular Check-ups: During orthodontic treatment, going to your doctor’s control at regular intervals ensures that your treatment process is successful.
Technological Advances and Orthodontic Treatment
In recent years, technological advances in the field of orthodontics have made treatment processes both more effective and more comfortable for patients.
Digital Tooth Scanning
Traditional dental cast models have been replaced by digital dental scans. In this way, high-tech devices used to take 3D images of your teeth create a detailed map of your tooth structure. At Hospitapirme Dental Clinic, we use this technology to create your treatment plan in the most accurate way.
Invisalign Technology
Invisalign is a treatment method that straightens teeth with transparent and removable appliances. Each appliance gradually moves your teeth to the desired position. Patients can remove their appliances while eating or at special moments.
Smart Wire Technology
Unlike conventional braces, smart braces are made of metal alloys with memory properties. These wires can move teeth faster and more comfortably.
Importance of the Treatment Process
Despite technological advances, the success of the orthodontic treatment process largely depends on the experience and knowledge of an expert orthodontist. As Hospitapirme Dental Clinic, we offer individual treatment plans to our patients using the most advanced technology with our specialised team.
The Difference of Hospitapirme Dental Clinic
As Hospitapirme Dental Clinic, we consider patient satisfaction as our primary goal. With our expert staff, modern technology and treatment plans tailored to individual needs, we are committed to achieving the most suitable results for you.



